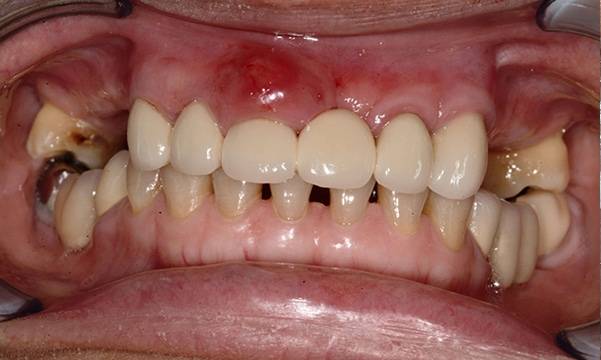
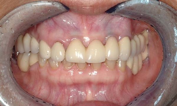
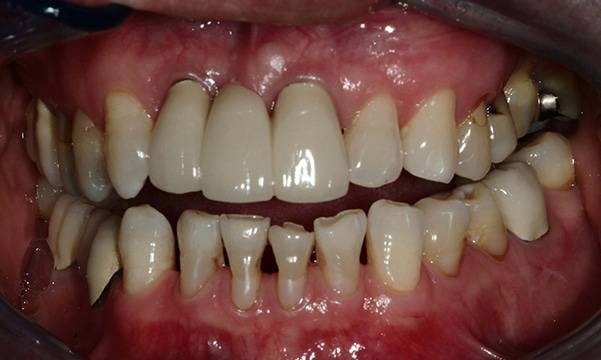
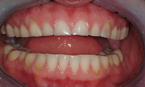
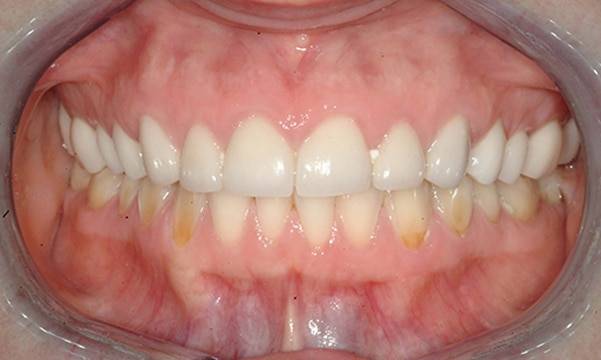
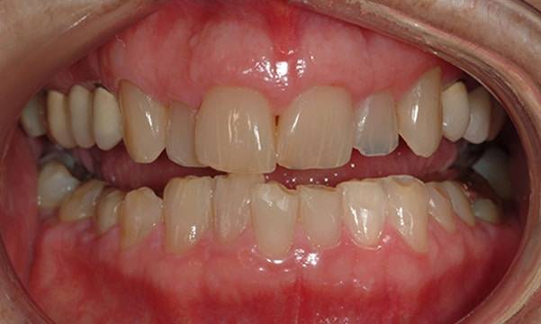
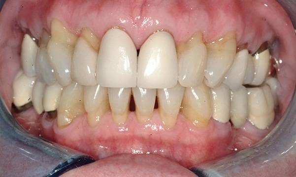
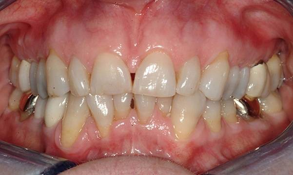
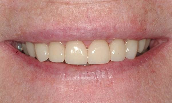
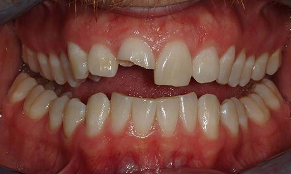
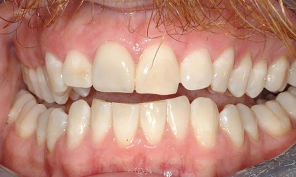
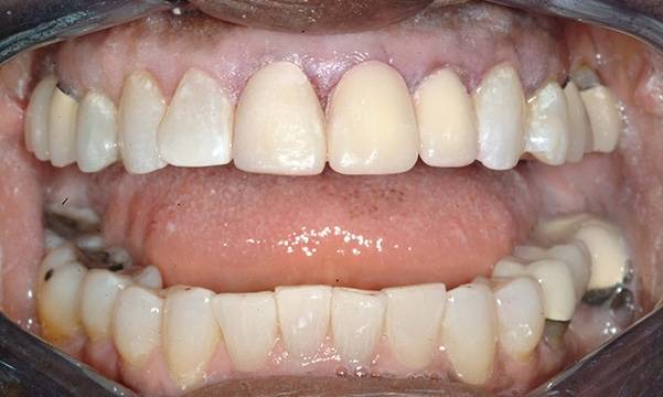
All cases shown on this website represent treatment completed by Yamaguchi Family Dentistry.
Schedule Your Appointment at Yamaguchi Family Dentistry
Please fill out the form below and our Scheduling Coordinator will find the best time for your appointment and contact you.
If you have any questions or this is an immediate need, please call us at (360) 943-9480.































